怎样预防宝宝蛀了牙?
时间:2015-05-15 11:39:38 来源:合肥佳德口腔 点击:1318次
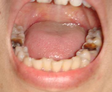
怎样预防宝宝蛀了牙?很多家长都在讨论一个问题,那就是孩子蛀了牙。引起蛀了牙的原因有很多,宝宝年龄比较小,不知道爱护牙齿,这时候,就需要家长的指导。宝宝蛀了牙影响美观,还会产生很大的危害。下边介绍一下预防宝宝长蛀了牙的四种方法:
1、刷牙既可清除牙面、牙缝的食物残渣和牙菌斑,又可对牙龈组织起按摩作用,促进血液循环,增强抗病能力。同时要教育儿童少吃零食,少吃糖,少吃黏质食物,睡前相对禁止吃甜食。
2、加强营养与锻炼儿童时期必须供给含蛋白质、维生素、无机盐及微量元素丰富的食物。预防蛀了牙除加强营养外,还要加强体育锻炼,注意适当安排户外活动,接触足够的阳光。

3、定期进行口腔检查做到早期发现,早期充填,防止发展。
4、早期治疗用充填的办法恢复牙齿的形态与功能,也可用激光照射,抗菌素溶液漱口等办法治疗。
怎样预防宝宝蛀了牙?以上介绍了预防蛀了牙的四种方法,希望可以帮助更多的家长朋友。对于蛀了牙,不要太害怕,只要做好预防工作,就能有效的预防蛀了牙的困扰。从小就给孩子养成良好的护牙习惯,早晚刷牙、饭后漱口。希望您的宝宝及早的远离蛀了牙。
加入口腔健康咨询平台,了解更多口腔健康资讯!QQ:佳德口腔牙医微信:A佳德口腔葛医生
上一篇:蛀了牙顾客要学会安排饮食? 下一篇:蛀了牙引发的多种危害?
您目前所在的位置:













